Autoridades do Hospital de Hong Kong, na China, afirmam que estudos confirmaram que as pessoas que tiveram Covid-19 (novo coronavírus) podem apresentar danos permanentes nos pulmões mesmo depois de curadas.
Os médicos da instituição perceberam que os pacientes que se recuperaram da doença apresentaram redução da capacidade pulmonar, como maior dificuldade para respirar, por exemplo.
Ao South China Mornig Post, o diretor do Hospital Princess Margaret, Owen Tsang Tak Yin, afirmou que especialistas da instituição médica já atenderam cerca de uma dúzia de pacientes que receberam alta após se recuperar do covid-19, mas que deste grupo, três pessoas não relataram não conseguir recuperar o mesmo estilo de vida, apresentando incapacidade de fazer as mesmas coisas que faziam antes de terem contraído a doença.
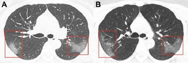
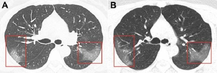
"Eles ofegam se andam um pouco mais rapidamente...Alguns pacientes podem ter uma queda de 20% a 30% na função pulmonar", pontuou Tsang. Ele também relatou que nove dos pacientes testados "apresentaram padrões semelhantes a 'vidro fosco' em todos eles, sugerindo que houve danos nos órgãos", disse.
A ideia dos médicos testar os pacientes para determinar a função pulmonar que eles ainda têm, além de proporcionar fisioterapia para ajudá-los na recuperação. Eles também acreditam que é cedo para determinar os efeitos a longo prazo destas lesões pulmonares causadas pela covid-19.
Coronavírus,Mundo












